Fehlende Zähne sollten nicht nur aus ästhetischen Gründen ersetzt werden. Durch Zahnlücken kann das Kauen erschwert werden, andere Zähne können sich verschieben. Dadurch werden Karies und parodontale Probleme begünstigt.
Häufig werden die unmittelbar mit der Lücke in Zusammenhang stehenden Zähne falsch belastet, die funktionelle Einheit aller Zähne kann beeinträchtigt werden. Dieses kann im gesamten Kauorgan zu Störungen führen, die Schmerzen in den Kiefergelenken und der Gesichts-, Kopf- und Halsmuskulatur zur Folge haben können. Letztendlich kann das sogar zum Verlust weiterer Zähne führen.
Um größere Schäden zu vermeiden, sollte eine Lücke deshalb nach einer gewissen Ausheilungszeit versorgt werden. Je nach den individuellen Gegebenheiten in der Mundhöhle kann die Zahnlücke durch festsitzenden Zahnersatz (Krone, Brücke mit oder ohne Implantat) oder einen herausnehmbaren Zahnersatz (Vollprothese oder Teilprothese) geschlossen werden.
Dadurch wird Zahn-, Zahnfleisch- und Kiefergelenkserkrankungen vorgebeugt. Das bedeutet auch Vermeidung hoher Versorgungskosten. Denn je frühzeitiger eine Behandlung erfolgt, desto geringer sind natürlich auch die dabei entstehenden Kosten.
Jeder hat es selbst in der Hand, dass aus einer kleinen Lücke kein großer Schaden entsteht.

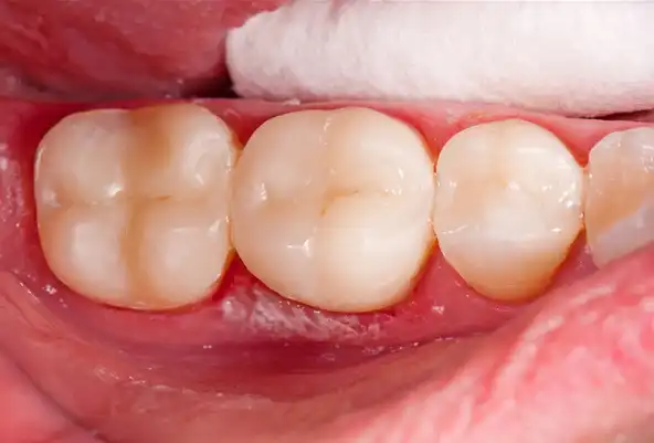
Streng genommen sind Kronen kein Zahnersatz, da sie keine fehlenden Zähne ersetzen. Wenn ein Zahn in seiner Substanz so stark reduziert ist, daß Füllungen nicht mehr dauerhaft verankert werden können, kann der Zahn durch eine Krone wieder exakt rekonstruiert werden. Eine schützende Hülle aus Metall oder Keramik faßt dabei den zu erhaltenden Zahn.



Ziel ist es, die Kaufunktion und die Ästhetik wieder herzustellen und den Zahn vor weiterer Zerstörung zu schützen.
Die Kronen können aus Metall, Metallkeramik oder aus Vollkeramik gefertigt sein.
Wenn die Zerstörung des Zahnes noch nicht zu weit fortgeschritten ist, kann man die Zähne auch mit Veneers, Componeers oder Inlays versorgen.
Die zahntechnische Realisierung ihres Zahnersatzes wird im praxiseigenen Dentallabor von unseren fünf Zahntechnikern ausgeführt.
Durch die räumliche Nähe können alle entscheidenden Behandlungsschritte von der Planung bis zur letzten Anprobe mit dem Patienten, dem Zahnarzt und den Zahntechnikern im direkten Dialog begleitet werden.
Guter Zahnersatz muss nach dem Vorbild der Natur möglichst unsichtbar und natürlich in die Zahnreihe einpassen, aber auch belastbar und stabil sein, um einen hohen Kaukomfort sicher zustellen. Das können wir durch die präzise Handarbeit unserer erfahrenen Zahntechniker und das Verwenden von hochwertigsten Materialen und Technologien gewährleisten.
Durch eine Brücke können fehlende Zähne im Gebiss ersetzt werden.
Der Brücken-Zahnersatz wird fest im Mund verankert und ist nicht herausnehmbar. Um eine Brücke anfertigen zu können, ist es jedoch notwendig, die Nachbarzähne der zu überbrückenden Lücke zu beschleifen. Wenn die Zähne beschliffen sind, wird ein Präzisionsabdruck von den beschliffenen Zähnen genommen.
Wir fertigen dann in unserem eigenen Dentallabor Modelle an, auf denen ihre Brücke hergestellt wird.
Eine Brücke wird aus Metalllegierungen oder Keramik gefertigt. Je nach Anzahl der fehlenden Zähne unterscheidet man zwischen ein- und mehrspannigen bzw. drei- und mehrgliedrigen Brücken. Die zu überbrückenden Lücken werden mit Brückenzwischengliedern versorgt. Ein Sonderfall ist die Freiendbrücke, die nur auf einer Seite der Lücke Pfeiler hat. Allerdings ist sie durch die Hebelwirkung, die sie auf die Pfeilerzähne ausübt, nur in Sonderfällen indiziert und nicht für jede Freiendsituation geeignet.
Wenn Sie keine Brücke möchten, können wir in der Regel Ihre Zahnlücke auch mit Implantaten oder Prothesen versorgen.



Durch die Anwendung moderner Technologien haben wir die Möglichkeit perfekte vollkeramische Restaurationen anzufertigen.
Mit computergestützten Verfahren (Cerec®-Restaurationen) stellt unser praxiseigenes Dentallabor lichtechte, vollkeramische Kronen und Brücken her, die in Ihrer perfekten Ästhetik nicht vom echten Zahn zu unterscheiden sind.
Cerec® ist die Abkürzung für CERamic REConstruction. Mit diesem System lassen sich keramische Restaurationen wie Inlays, aber auch Kronen, Brücken,Veneers (=Verblendschalen aus Keramik) und Componeers (=Verblendschalen aus Kompositkunststoff) anfertigen.


Dabei entstehen hoch präzise Restaurationen, die sich in Form und Farbe perfekt Ihren natürlichen Zähnen anpassen.
Vorteile von Keramik:
- stellt Funktion und Ästhetik Ihres Zahn komplett wieder her
- ist absolut körperverträglich und löst keine Allergien aus
- im Mund unsichtbar, verfärbt sich nicht
- hat eine sehr lange Lebensdauer
- ist hygienisch und geschmacksneutral
- ist ein schlechter Wärmeleiter und überträgt deshalb kaum Reize auf den Zahnstumpf
CAD/CAM Technologie Verfahren

Bei der Verwendung der CAD/CAM-Technologie wird zunächst mittels eines hochauflösenden Scanners der optische Abdruck einer Präparation bzw. eines Modells abgetastet.
Gemäß dem CAD-Verfahren (Computer-Aided Design) werden die gewonnenen Bilder nun am Monitor eines Computers dargestellt und die zukünftige Restauration wird mittels einer speziellen Software designt.
Anschließend werden die Konstruktionsdaten im CAM-Verfahren (Computer-Assisted Manufacturing) an eine Schleifeinheit übertragen.
Nach Verarbeitung aller erhaltenen Daten steuert der Rechner Keramikfräsen und Diamantscheiben passgenau und hochpräzise. Aus einem massiven und fest gebrannten Keramikblock entsteht entweder das gewünschte Inlay bzw. Veneer oder es wird ein extrem stabilen Zirkonkeramikgerüst für Brückenkonstruktionen hergestellt.
Dieses Gerüst wird in Handarbeit aus Pulver und Flüssigkeit individuell für Sie beschichtet und Ihre Restauration geformt. Dabei muss die Keramikverblendung in vielen einzelnen Schritten immer wieder im Vakuumofen gebrannt werden. Die Farbe der Krone wird also nicht aufgemalt, sondern entsteht durch die Lichtbrechung die durch die individuelle Schichtung der Keramikverblendmasse erreicht wird. Nur so kann eine perfekte Ästhetik gelingen.
Diese stabile Materialkombination reflektiert Licht gleich dem natürlichen Zahn. Das kreative Zusammenspiel von Werkstoff, Technik und die Handwerkskunst unserer Zahntechniker machen diese Kronen bzw. Brücken zu einem unvergleichlichen Zahnersatz.
In unserem praxiseigenen Dentallabor kann so jede vollkeramische Restauration hergestellt werden.



Bei Prothesen unterscheidet man zwischen Vollprothesen und Teilprothesen.
Eine Teilprothese ist ein Zahnersatz, der aus einem festsitzenden und einem herausnehmbaren Teil bestehen kann.
Eigene verbliebene Zähne werden dazu benutzt, den herausnehmbaren Teil im Mund zu verankern. Der herausnehmbare Teil kann, ebenso wie der festsitzende Anteil des Zahnersatzes, immer getragen werden; auch Nachts.
Nur zur täglichen Mundhygiene muss der herausnehmbare Teil des Zahnersatzes kurz entfernt werden. Als Befestigungen kommen Klammern, Teleskopkronen (Doppelkronen), Geschiebe oder Stege in Frage.

Klammerprothese

Vorteile:
- Geringer Zeit- und Kostenaufwand
- Befriedigendes Preis-Leistungsverhältnis
- Befriedigende Wiederherstellung der Kaufunktion
Nachteile:
- Beeinträchtigung der Restbezahnung
- Geringer Tragekomfort
- Sichtbare Klammern
Geschiebeprothese

Vorteile:
- Hoher Tragekomfort
- Schonung des Restgebisses
- Gute Ästhetik
- Paßgenau
Nachteile:
- Aufwendige Reinigung
- Aufwendige Herstellung
Teleskopprothese

Vorteile:
- Hoher Tragekomfort
- Gut erweiterbar
- Schonung des Restgebisses
- Langlebig
- Gute Ästhetik
- Einfache Reinigung
- Paßgenau
Nachteile:
- Aufwendige Herstellung
Sie müssen sich nicht unsicher fühlen, nur weil Sie eine Vollprothese tragen
Ohne große Eingriffe und innerhalb eines Tages können wir ihre Vollprothesen durch eine Versorgung mit Miniimplantaten befestigen.
Wir setzen Ihnen am Morgen die kleinen Implantate und arbeiten in unserem eigenen Labor ihre Prothese dafür um.
Noch am selben Tag bekommen Sie Ihre umgearbeitete Prothese zurück.



